歯の奥が腫れてだんだん痛くなってきた患者様の症例
吉本歯科医院では、口内写真とパノラマレントゲンを撮影し、まずは顎の骨の状態まで詳しく確認しました。

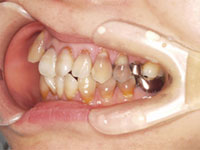
口内写真.
院長の吉本の診断は、以下の2つでした。
・虫歯の進行により、歯の根っこに膿が出来てしまった
・咬み合わせが悪いことにより、虫歯になりやすい(バイ菌がたまりやすい)
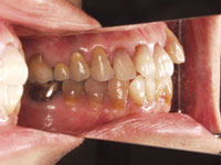
1. 根っこの治療を行う
2. 歯の表面を少し削りジルコニアクラウンの被せ物をする

完成後の写真.
歯の形、色、位置、見え方、笑った時、会話をするときに美しく見える口元を改善する治療方です。歯冠長を延長してセラミックス等の被せ物を入れることで歯の位置や見た目を改善します。
一般的には以下のようなリスクがあります。
その有無や程度は、症状や個人差によって異なります。
今ある歯の位置によっては、歯を大きく削ることになります。天然歯であれば神経を残した状態で被せ物が出来るか、神経を取った状態で被せ物になるかは実際に削ってみないと分りません。神経を残して被せ物となれば、しばらく冷熱痛や神経に触るような痛みを感じることがありますが被せ物が入れば数日で治まることがおおいです。
削る必要量が多くなれば歯に痛みがでますので神経をとることになります。神経を取れば、神経がある歯と比べると歯の強度が10分の1まで落ちます。根は残りますが歯の歯冠部分はなくなりますので人工的な土台(心棒)をいれることになります。
見た目がいい形の歯を入れるために歯茎を切除して骨形成を行います。
外科処置となりますので、術後に腫れや痛みあざが生じる可能性があります。
いずれも個人差はありますが1週間から2週間程でおさまります。
吉本歯科医院
吉本歯科医院では、充実した診療を行うために完全予約制とさせて頂いております。
お手数ではございますが事前にメールまたはお電話でのご予約をお願い致します。
〒761-0113 香川県高松市屋島西町 1968-9
TEL 087-818-1118 FAX 087-818-1181
診療科目:噛み合わせ専門 歯科治療
インプラント治療・審美歯科
診療時間:9:15〜18:00 (日・祝日はお休み)
http://www.8181118.com/
e-mail:info@8181118.com


