「上の前歯がだんだん飛び出てきて口びるが閉まらなくなり、笑った時に顔がひきつって見えるのが嫌だ」と来院された患者さま

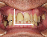
治療前
一見、悪くないようにみえますが、噛み合わせの位置が後方にずれて、低くなったために、前歯に負担がかかり前方に飛び出てきています。(上の前歯が出っ歯になっています).
院長の吉本の診断は以下でした
1. 親知らずを放置していたことによる歯並びの崩れ
2. 過蓋咬合(かがいこうごう)下の歯がかぶってしまうくらい上の歯が覆いかぶさってしまっている状態
※親知らずを抜かずに放置している場合に下の前歯が前に上に飛び出てくることがあります。親知らずは生えてくるスペースがないと、すぐ手前の歯を無理に押して出てくることがあります。
また、親知らずが斜めや真横に傾いて生えている場合は、かなり強い力で手前の歯を押してきます。そのことによってドミノ倒しのように健全な歯並びを乱し、健全な歯が揺れだしたり、前に飛び出してくることがあります。

1. マウスピースにてどこの咬み合わせの高さが楽に咬めるのかを探す。
2. その高さに合わせて奥歯の被せ物をして咬合を安定させた。
3. 下の前歯の歯肉の位置を下げる外科的治療を行い、上の前歯の被せ物をセラミックにやりかえを行なった。

治療前
笑った時に歯のガタガタが目立ち、唇がゆがんで見えます。
うまく上の唇が閉じられません。

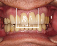
治療後
笑った時に歯並びがキレイです。
唇のゆがみもありません。
はわずかですが、常に数ミクロン単位で動き続けています。せっかくきれいに歯並びを戻してもほうっておくとまたずれてくる可能性があります。そのため、きれいになった歯並びを維持するために専用のマウスピースを作成し、夜間装着して頂くことで、きれいで機能的な歯並びを維持していきます。
歯の形、色、位置、見え方、笑った時、会話をするときに美しく見える口元を改善する治療方です。歯冠長を延長してセラミックス等の被せ物を入れることで歯の位置や見た目を改善します。
一般的には以下のようなリスクがあります。
その有無や程度は、症状や個人差によって異なります。
今ある歯の位置によっては、歯を大きく削ることになります。天然歯であれば神経を残した状態で被せ物が出来るか、神経を取った状態で被せ物になるかは実際に削ってみないと分りません。神経を残して被せ物となれば、しばらく冷熱痛や神経に触るような痛みを感じることがありますが被せ物が入れば数日で治まることがおおいです。
削る必要量が多くなれば歯に痛みがでますので神経をとることになります。神経を取れば、神経がある歯と比べると歯の強度が10分の1まで落ちます。根は残りますが歯の歯冠部分はなくなりますので人工的な土台(心棒)をいれることになります。
見た目がいい形の歯を入れるために歯茎を切除して骨形成を行います。
外科処置となりますので、術後に腫れや痛みあざが生じる可能性があります。
いずれも個人差はありますが1週間から2週間程でおさまります。
吉本歯科医院
吉本歯科医院では、充実した診療を行うために完全予約制とさせて頂いております。
お手数ではございますが事前にメールまたはお電話でのご予約をお願い致します。
〒761-0113 香川県高松市屋島西町 1968-9
TEL 087-818-1118 FAX 087-818-1181
診療科目:噛み合わせ専門 歯科治療
インプラント治療・審美歯科
診療時間:9:15〜18:00 (日・祝日はお休み)
http://www.8181118.com/
e-mail:info@8181118.com


