右下の歯の咬み合わせが反対になっているのが気になり来院された患者さまの症例
吉本歯科医院では、口内写真とパノラマレントゲンを撮影し、まずは顎の骨の状態まで詳しく確認しました。

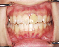
治療前
右下、糸切り歯のかみ合わせが上下逆になっている状態
患者さまご自身は、長年見た目が気になり、治したかったが、目立つ装置をつけるのが嫌でそのままにしてこられました。
しかし、時間が過ぎるにつれだんだんと下の歯が飛び出してきました。.
院長の吉本の診断は以下でした。
反対咬合、交差咬合いよる咬合不全(咬み合わせの悪さ)
反対咬合、交差咬合いよる咬合不全(咬み合わせの悪さ)を改善するために全顎的な矯正治療をおすすめしたところ、ブラケット(矯正装置)を装着しての矯正治療は行いたくなく、また、歯を抜かずに治療をして欲しいとのことでした。

上下前歯の歯と歯の間を、髪の毛数本程度少し削り細くしてマウスピース矯正にて治療。この程度の削る量であれば虫歯になりやすくなったりしみたりといったこともないので問題がありません。

【半年後の状態】
右下の反対咬合が改善され、上下の正中のずれが数ミリ改善されています。
楽に口を閉じると右の糸切り歯が引っかかり、やや右に顎をずらさなければ咬めなかったのが、引っ掛かりが取れ、楽な場所で咬めるようになりました。
歯はわずかですが、常に数ミクロン単位で動き続けています。せっかくきれいに歯並びを戻してもほうっておくとまたずれてくる可能性があります。そのため、きれいになった歯並びを維持するために専用のマウスピースを作成し、装着して頂くことで、きれいな歯並びを維持していきます。
歯の形、色、位置、見え方、笑った時、会話をするときに美しく見える口元を改善する治療方です。歯冠長を延長してセラミックス等の被せ物を入れることで歯の位置や見た目を改善します。
一般的には以下のようなリスクがあります。
その有無や程度は、症状や個人差によって異なります。
今ある歯の位置によっては、歯を大きく削ることになります。天然歯であれば神経を残した状態で被せ物が出来るか、神経を取った状態で被せ物になるかは実際に削ってみないと分りません。神経を残して被せ物となれば、しばらく冷熱痛や神経に触るような痛みを感じることがありますが被せ物が入れば数日で治まることがおおいです。
削る必要量が多くなれば歯に痛みがでますので神経をとることになります。神経を取れば、神経がある歯と比べると歯の強度が10分の1まで落ちます。根は残りますが歯の歯冠部分はなくなりますので人工的な土台(心棒)をいれることになります。
見た目がいい形の歯を入れるために歯茎を切除して骨形成を行います。
外科処置となりますので、術後に腫れや痛みあざが生じる可能性があります。
いずれも個人差はありますが1週間から2週間程でおさまります。
吉本歯科医院
吉本歯科医院では、充実した診療を行うために完全予約制とさせて頂いております。
お手数ではございますが事前にメールまたはお電話でのご予約をお願い致します。
〒761-0113 香川県高松市屋島西町 1968-9
TEL 087-818-1118 FAX 087-818-1181
診療科目:噛み合わせ専門 歯科治療
インプラント治療・審美歯科
診療時間:9:15〜18:00 (日・祝日はお休み)
http://www.8181118.com/
e-mail:info@8181118.com


