接着技術により、何度も同じ部分が虫歯になる状態を改善した患者さまの症例

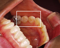
治療前
他医院にて虫歯部分を削り、金属の詰め物をしていた部分の金属をはずしている状態 。.
院長の吉本の診断は以下でした。
虫歯治療による2次齲触(虫歯治療した部分に再度バイキンが入り込み、また虫歯になっている状態)
問題点
1. 虫歯治療をする際に、削った部分をきちんと表面処理をせずに被せ物で蓋をしてしまうとばい菌はまだその部分に残っていますので時間がたつとまた同じ場所が同じように虫歯になってしまうということが起こります。
2. また、被せ物をする際の接着技術も、きちんとした技術で行なわなかった場合には封鎖しきれずにその隙間からまたばい菌が侵入し、虫歯を再発させてしまいます。
吉本歯科医院で行なう虫歯治療は
・削った部分の表面を薬剤処理することにより封鎖性の高い接着を得ることができます。
・歯の表面を薬剤処理することにより表面のばい菌を殺し、ばい菌の侵入をストップし、装着した部分からの虫歯を防ぐことができます。
・完全に表面処理を行なったことを確認後、すばやく被せ物や詰め物をくっつけます。
・素材の良いものを選び(金属アレルギーに対応、強度があるもの)かぶせ物でふたをします。

1.削った部分の型取りをします。
2. 削った部分に微量の抗生物質の薬品を塗ります(薬で治す治療法?処理)
3. 削った部分の表面を薬剤によりセメントが隙間なく浸透できるような表面処理を行ないます。
4. 削った部分に金属アレルギーの心配のないセラミックの詰め物をします。
自分の歯とセラミックの違いがほとんど分かりません。.
歯の形、色、位置、見え方、笑った時、会話をするときに美しく見える口元を改善する治療方です。歯冠長を延長してセラミックス等の被せ物を入れることで歯の位置や見た目を改善します。
一般的には以下のようなリスクがあります。
その有無や程度は、症状や個人差によって異なります。
今ある歯の位置によっては、歯を大きく削ることになります。天然歯であれば神経を残した状態で被せ物が出来るか、神経を取った状態で被せ物になるかは実際に削ってみないと分りません。神経を残して被せ物となれば、しばらく冷熱痛や神経に触るような痛みを感じることがありますが被せ物が入れば数日で治まることがおおいです。
削る必要量が多くなれば歯に痛みがでますので神経をとることになります。神経を取れば、神経がある歯と比べると歯の強度が10分の1まで落ちます。根は残りますが歯の歯冠部分はなくなりますので人工的な土台(心棒)をいれることになります。
見た目がいい形の歯を入れるために歯茎を切除して骨形成を行います。
外科処置となりますので、術後に腫れや痛みあざが生じる可能性があります。
いずれも個人差はありますが1週間から2週間程でおさまります。
吉本歯科医院
吉本歯科医院では、充実した診療を行うために完全予約制とさせて頂いております。
お手数ではございますが事前にメールまたはお電話でのご予約をお願い致します。
〒761-0113 香川県高松市屋島西町 1968-9
TEL 087-818-1118 FAX 087-818-1181
診療科目:噛み合わせ専門 歯科治療
インプラント治療・審美歯科
診療時間:9:15〜18:00 (日・祝日はお休み)
http://www.8181118.com/
e-mail:info@8181118.com


