変色した前歯の被せ物をやりかえ、自然な歯と歯肉を取り戻した患者さまの症例
他医院にて自由診療の超硬質レジン、ハイブリッドセラミックスにて治療したが歯の色が変色し、歯茎の色も金属のように黒ずんできたのが気になると来院された。

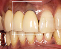
治療前
土台に金属を使用したり、カブセ物の内側(基礎)に金属を使用した場合、数年で金属が溶け出しこのように歯茎が黒くなって体内に金属が吸収されていきます。保険ブリッジや超硬質レジン、ハイブリッドセラミックスは、ツヤがなくなり、色が黄色っぽくなっていきます 。.
院長の吉本の診断は以下でした。
金属の芯棒や、歯の裏打ちを金属でしていることにより金属が溶け出しこのように歯茎に金属の色が溶け出して左右の歯茎に色の違いが出てきている状態です。(将来、金属アレルギーになる可能性も考えられる)
また、被せ物に使用している素材がプラスチックのため年月が過ぎるにつれ黄色く変色を起こしてきます。
被せ物にセラミックをしても、心棒に金属を使ってしまえば、金属の色が透けて見た目が悪いだけでなく金属アレルギーが起こる可能性や将来、歯根破折の可能性は非常に高くなります。
吉本歯科医院では、このようなことを考慮し、前歯の心棒にはファイバーコアという材質を使用します。ファイバーコアは金属アレルギーの心配もなく強度にも優れている素材です。

治療後
以前のカブセ物を外し土台にも基礎にも全く金属を使用しないカブセ物にやり変えしました。
入れてから何年たっても歯茎が黒くなることはありません。歯周病で歯茎が下がった場合でも歯が見えることはありますが黒い金属が見えることはありません。
金属を取り除いたので一年程度で歯茎の黒ずみはしだいに消えていきます。
また、左右の歯茎の色が自然な色に戻ってきました。
歯の形、色、位置、見え方、笑った時、会話をするときに美しく見える口元を改善する治療方です。歯冠長を延長してセラミックス等の被せ物を入れることで歯の位置や見た目を改善します。
一般的には以下のようなリスクがあります。
その有無や程度は、症状や個人差によって異なります。
今ある歯の位置によっては、歯を大きく削ることになります。天然歯であれば神経を残した状態で被せ物が出来るか、神経を取った状態で被せ物になるかは実際に削ってみないと分りません。神経を残して被せ物となれば、しばらく冷熱痛や神経に触るような痛みを感じることがありますが被せ物が入れば数日で治まることがおおいです。
削る必要量が多くなれば歯に痛みがでますので神経をとることになります。神経を取れば、神経がある歯と比べると歯の強度が10分の1まで落ちます。根は残りますが歯の歯冠部分はなくなりますので人工的な土台(心棒)をいれることになります。
見た目がいい形の歯を入れるために歯茎を切除して骨形成を行います。
外科処置となりますので、術後に腫れや痛みあざが生じる可能性があります。
いずれも個人差はありますが1週間から2週間程でおさまります。
吉本歯科医院
吉本歯科医院では、充実した診療を行うために完全予約制とさせて頂いております。
お手数ではございますが事前にメールまたはお電話でのご予約をお願い致します。
〒761-0113 香川県高松市屋島西町 1968-9
TEL 087-818-1118 FAX 087-818-1181
診療科目:噛み合わせ専門 歯科治療
インプラント治療・審美歯科
診療時間:9:15〜18:00 (日・祝日はお休み)
http://www.8181118.com/
e-mail:info@8181118.com


