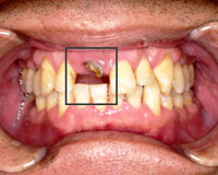
右上の前歯が抜けてしまい歯の根っこだけになっている患者さまの症例
吉本歯科医院では、口腔内写真とパノラマレントゲンを撮影し、まずは顎の骨の状態まで詳しく確認しました。

治療前歯がほとんどなくなっていて根っこだけの状態。.
院長の吉本の診断は以下でした。
歯周病の進行と舌圧の強さにより、下の前歯が前に飛び出てきてしまい上の前歯とぶつかるようになってきた。そのため咬む力によって歯が欠けてしまっている。
また、歯と歯の間に隙間が拡がってきている。
原因は、歯周病の進行と、舌圧による咬合不全。

治療後
1. 下の前歯をマウスピースにて固定。
2. 根っこの治療を行なったあとコア(歯をささえる土台)を入れる。
3. セラミックの被せ物ををしました。見た目、天然の歯とほとんど変わりありません。
吉本歯科医院の審美歯科は、優秀な歯科技工士の技術により見た目に白い歯を作るだけでなくより自然な歯を再現することができます。「ご自分の歯のように見える」ということが大きなポイントです。
※多くの審美歯科では、前歯一本だけが不自然な白さやツヤ感があり、明らかに「被せ物をしている」という印象になってしまいます。
歯は前後左右で支えあっているので歯と歯の隙間はないように作るのが常識ですが、この患者さまの場合は舌圧が非常に強いため、今後も歯と歯の隙間が拡がっていくことが予想されました。よって、あえて隙間を作り自然な歯の見え方となるような形態としました。
歯はわずかですが、常に数ミクロン単位で動き続けています。せっかくきれいに歯並びを戻してもほうっておくとまたずれてくる可能性があります。そのため、きれいになった歯並びを維持するために専用のマウスピースを作成し、夜間装着して頂くことで、きれいな歯並びと機能性を維持していきます。
歯の形、色、位置、見え方、笑った時、会話をするときに美しく見える口元を改善する治療方です。歯冠長を延長してセラミックス等の被せ物を入れることで歯の位置や見た目を改善します。
一般的には以下のようなリスクがあります。
その有無や程度は、症状や個人差によって異なります。
今ある歯の位置によっては、歯を大きく削ることになります。天然歯であれば神経を残した状態で被せ物が出来るか、神経を取った状態で被せ物になるかは実際に削ってみないと分りません。神経を残して被せ物となれば、しばらく冷熱痛や神経に触るような痛みを感じることがありますが被せ物が入れば数日で治まることがおおいです。
削る必要量が多くなれば歯に痛みがでますので神経をとることになります。神経を取れば、神経がある歯と比べると歯の強度が10分の1まで落ちます。根は残りますが歯の歯冠部分はなくなりますので人工的な土台(心棒)をいれることになります。
見た目がいい形の歯を入れるために歯茎を切除して骨形成を行います。
外科処置となりますので、術後に腫れや痛みあざが生じる可能性があります。
いずれも個人差はありますが1週間から2週間程でおさまります。
吉本歯科医院
吉本歯科医院では、充実した診療を行うために完全予約制とさせて頂いております。
お手数ではございますが事前にメールまたはお電話でのご予約をお願い致します。
〒761-0113 香川県高松市屋島西町 1968-9
TEL 087-818-1118 FAX 087-818-1181
診療科目:噛み合わせ専門 歯科治療
インプラント治療・審美歯科
診療時間:9:15〜18:00 (日・祝日はお休み)
http://www.8181118.com/
e-mail:info@8181118.com


