もともと大人の歯が生えてこなかった(先天性欠損が原因) 患者様の症例

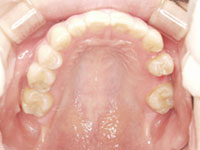
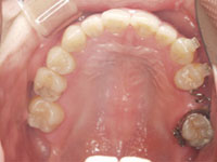
口内写真
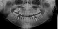
パノラマレントゲン写真
口内写真とパノラマレントゲンを撮影し、まずは顎の骨の状態まで詳しく確認しました。.
院長の吉本の診断は、以下でした。
・歯がない期間が長く続いたため隣の歯が横に倒れてしまい、歯と歯との間に隙間が2ケ所できてしまっていた。
1.矯正治療で隙間をなくす
2.インプラント治療
3.マウスピースによる咬合改善維持
4.定期的な予防治療(PMTC)

歯がない期間が長く続いたため隣の歯が横に倒れてしまい、歯と歯との間に隙間が2ケ所できてしまっていたため、インプラントの前に矯正治療で隙間をなくす治療を行う


一般的なインプラント治療には以下のようなリスクがあります。
その有無や程度は、症状や個人差によって異なります。
全ての患者様に言えることは、喫煙はインプラント手術及び術後の経過不良を引き起こしてしまう可能性があるということです。
インプラント治療に入る前に、禁煙されることを強くお勧めします。また将来においても禁煙をお勧めします。
インプラント埋入手術は、いずれも外科手術が必要です。
口腔や顎骨に関わる外科手術によって以下のように生じるリスクがあります。
①痛み・腫れが生じる可能性があります。
②外科による出血が長引く可能性があります。
③神経損傷による麻痺の可能性があります。
④上顎洞炎になる可能性があります。
⑤手術によって内出血様のあざが生じる可能性があります。
⑥上の術後にはしばらく鼻血が出る可能性があります。
⑦手術部とは離れた部分に内出血やあざが生じる可能性があります。
腫れやあざは、多くの場合時間の経過とともに自然に退いていきます。(2週間~3週間程かかる場合もあります)
当院では、出来る限り低侵襲な治療法を選択することで、負担の少ない治療をご提供しています。
さらに、神経損傷や麻痺のリスクを回避するため、神経や血管の位置や骨の硬さの値をより正確に把握することが可能なCTで撮影を行います。そのCTデータを3D立体構築画像検査による精密診断を必ず実施ししてから手術を行います。
その結果に基づいた治療計画を立てています。
骨量や歯周組織が吸収、減少してしまっている場合は、骨造成や骨移植及び歯肉移植などの手術を併用します。当医院で使用する人工骨は牛から取り出した成分を加工して作られた人工骨とリン酸カルシウムを材料として作られた人工骨です。いずれも長期に応用されているもので不具合は報告されていません。
骨質に関しては、骨の質が硬すぎる、柔らかすぎる場合、埋入後のインプラントが骨と結合しにくいというリスクがあります。
骨の中にバイキンが残っている場合には埋入後のインプラントが骨と結合しにくいというリスクがあります。
特に骨質(硬さ)は個人差があります。また、骨質にはCTでは明確に見えない部分があります。実際、手術で開いてみて骨の状態によって埋入予定が変更になる場合があります。
インプラント自体は虫歯になることはありませんが、インプラント周囲の歯肉はブラッシングを怠ると歯周病のように炎症を起こし、バイキンが歯肉から骨の方に侵入していきます。結果インプラント周囲の顎骨が溶けていってしまいます。腫れる、膿みがでる、噛むと痛む、インプラントや被せ物が動くなどが主な症状です。
これをインプラント周囲炎といいます。重症化するとインプラント抜去になってしまうことがあります。インプラントは自覚症状が出にくいものです。
早期発見、早期治療が状態悪化を遅らせることになります。当院では必ず定期健診にお越し頂きますようお願いいたします。
ご自身では、毎日正しい清掃を続けていく必要があります。
噛み合わせも日々変化し、治療後の状態が続くわけではないので、当院では治療後も定期的に噛み合わせのチェックをしています。
歯肉・歯周組織が健康な状態でないと、適切なインプラント治療を行うことが難しくなります。
特に禁煙、糖尿病は、術後の歯周組織の治癒を遅らせ、インプラント手術の成功率を低下させます。
したがって当院ではインプラント治療に際して、禁煙を強くお勧めしています。
また、糖尿病や骨粗しょう症の自主的管理をすることも、付け加えさせていただきます。
禁煙にご不安な方には禁煙外来をご紹介いたします。
| 国内未承認の有無 | 未承認(一部適応にて承認有り) |
|---|---|
| 入手経路 | ノーベルバイオケア社およびジンマー・バイオメット・デン タル合同会社(旧 バイオメット3iジャパン社)から入手 |
| 国内の承認医薬品の有無 | 無(一部適応外使用有り) |
| 安全性に関し諸外国の情報 | 該当のインプラント商材は日本で何万件も の歯科医院で導入されており、これによる重大な副作用などの事象報告はありません |
一般的に矯正治療には以下のようなリスクがあります。
その有無や程度は、症状や個人差によって異なります。
装置で歯に弱い力を加えて歯を少しずつ動かします。歯に力が加わるとその方向の骨が吸収され引っ張られた側(歯が元の位置から移動して隙間が出来た部分)には新しい骨ができてきます。こうしたことから調整直後は一時的ですが歯根膜炎という炎症がおこり歯に痛みが感じます。痛みには個人差がありますが数日で痛みが無くなることがほとんどです。
問題ありません。あまりにも痛みが辛い場合には痛み止めを処方します。
矯正装置を付けることで口腔内の清掃がしにくくなります、その結果プラーク(歯垢)が残ることで、虫歯や歯周病にかかるリスクが高くなってしまいます。
これを予防するためには、適切なブラッシングとフッ素洗口液の使用をおすすめしています。(スタッフにお尋ね下さい)ご自宅での口腔ケアを徹底してください。
歯に付いた矯正装置が唇や舌に当たることで、刺激となり、口内炎などを起こすことがあります。
もし痛みがある場合は、塗り薬や装置をカバーするワックスで対処します。
多くの場合は、装着して1週間以上経過することで装置に慣れ、自然に解消していきます。
装置を付けることで、しゃべりにくい、噛みにくい、柔らかい食品しか食べられない、唇を噛みこむなど、発音や咀嚼のしにくさを感じることがあります。
ほとんどの場合、装置に慣れることで、不自由さが解消されていきます。
また装置に粘着しやすいグミ、ガム、キャラメル、飴などの食品や、装置の破損につながる硬い食品は、矯正中は避けた方がよいでしょう。
吉本歯科医院
吉本歯科医院では、充実した診療を行うために完全予約制とさせて頂いております。
お手数ではございますが事前にメールまたはお電話でのご予約をお願い致します。
〒761-0113 香川県高松市屋島西町 1968-9
TEL 087-818-1118 FAX 087-818-1181
診療科目:噛み合わせ専門 歯科治療
インプラント治療・審美歯科
診療時間:9:15〜18:00 (日・祝日はお休み)
http://www.8181118.com/
e-mail:info@8181118.com


