奥歯が1本もない状態のままで放置していた 患者様の事例
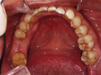
吉本歯科医院では、口内写真とパノラマレントゲンを撮影し、まずは顎の骨の状態まで詳しく確認しました。

口内写真.
院長の吉本の診断は以下でした。
1.奥歯がない状態で過ごしていた期間が長いため歯がない部分に隣の歯が倒れだして全体の歯並びを崩しはじめている
1. 接着ブリッジ
健康な歯を削る量を最大限に抑え、接着ブリッジを行なう

吉本歯科医院
吉本歯科医院では、充実した診療を行うために完全予約制とさせて頂いております。
お手数ではございますが事前にメールまたはお電話でのご予約をお願い致します。
〒761-0113 香川県高松市屋島西町 1968-9
TEL 087-818-1118 FAX 087-818-1181
診療科目:噛み合わせ専門 歯科治療
インプラント治療・審美歯科
診療時間:9:15〜18:00 (日・祝日はお休み)
http://www.8181118.com/
e-mail:info@8181118.com


